
Can Missing Teeth Affect My Facial Structure
Millions of American adults are missing at least one tooth, and many of those are missing all of their natural teeth. This has a detrimental

Millions of American adults are missing at least one tooth, and many of those are missing all of their natural teeth. This has a detrimental

According to the American Dental Association, dental implants are the “gold standard” of tooth replacement options. This is because they look, feel, and function more

Top Reasons for Teeth Falling Out Your permanent teeth should last a lifetime. Unfortunately, this isn’t always the case. In fact, millions of American adults

What is Hypodontia? Hypodontia or Congenitally Missing Teeth is a form of dental agenesis, which is a condition characterized by some of the teeth being

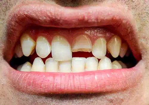
How to Fix a Chipped Tooth Many people confuse chipped and cracked teeth. While similar, the two conditions are actually different. A cracked tooth is

Bonding vs Veneers: How to Choose the Best Solution for the Perfect Smile According to the American Dental Association, most people are unhappy with the

Top 4 Options for Replacing Missing Front Teeth Missing teeth are common among adults in America. In fact, this is one of the most common

Everything You Need to Know about Tooth Extraction Most dental professionals agree that it’s best to try to salvage the natural tooth whenever possible. Unfortunately,

While proper oral hygiene practices can help preserve natural teeth, there are millions of American adults that are missing multiple teeth or all of their
About Us
At A Dental Care, we understand the importance of having access to emergency dentistry services in Houston, TX. We provide comprehensive dental care in Houston, TX for individuals who need urgent attention and are committed to providing excellent customer service. Rated as one of the Best Dentists in Houston, TX.
2025 © A Dental Care. All Rights Reserved.
Dental Marketing by WEB MARKETING FOR DENTISTS