
Can Yellow Teeth Become White: Causes and Solutions
The answer is a resounding yes. With advancements in dental care and various whitening options available, yellow teeth can be effectively transformed into a whiter,

The answer is a resounding yes. With advancements in dental care and various whitening options available, yellow teeth can be effectively transformed into a whiter,

Veneers are thin shells crafted to enhance the aesthetic appeal of teeth, which boast an average lifespan of 10 to 15 years. This range, however,

What are Dental Veneers? Dental veneers are thin, custom-made shells crafted from various materials, such as porcelain, resin, or composite, designed to cover the front

Dental Veneers Before and After Transform Your Smile with Dental Veneers at A Dental Care in Houston, TX! Are you ready to unveil a picture-perfect

Should You Brush Your Teeth After a Root Canal? After a root canal, it’s natural to wonder if brushing your teeth is advisable. The answer

How to Manage Root Canal Pain? Undergoing a root canal procedure can be an effective way to save a damaged tooth, but it’s not uncommon

One of the most common dental issues faced by our patients at A Dental Care is missing teeth. This issue can be the result of

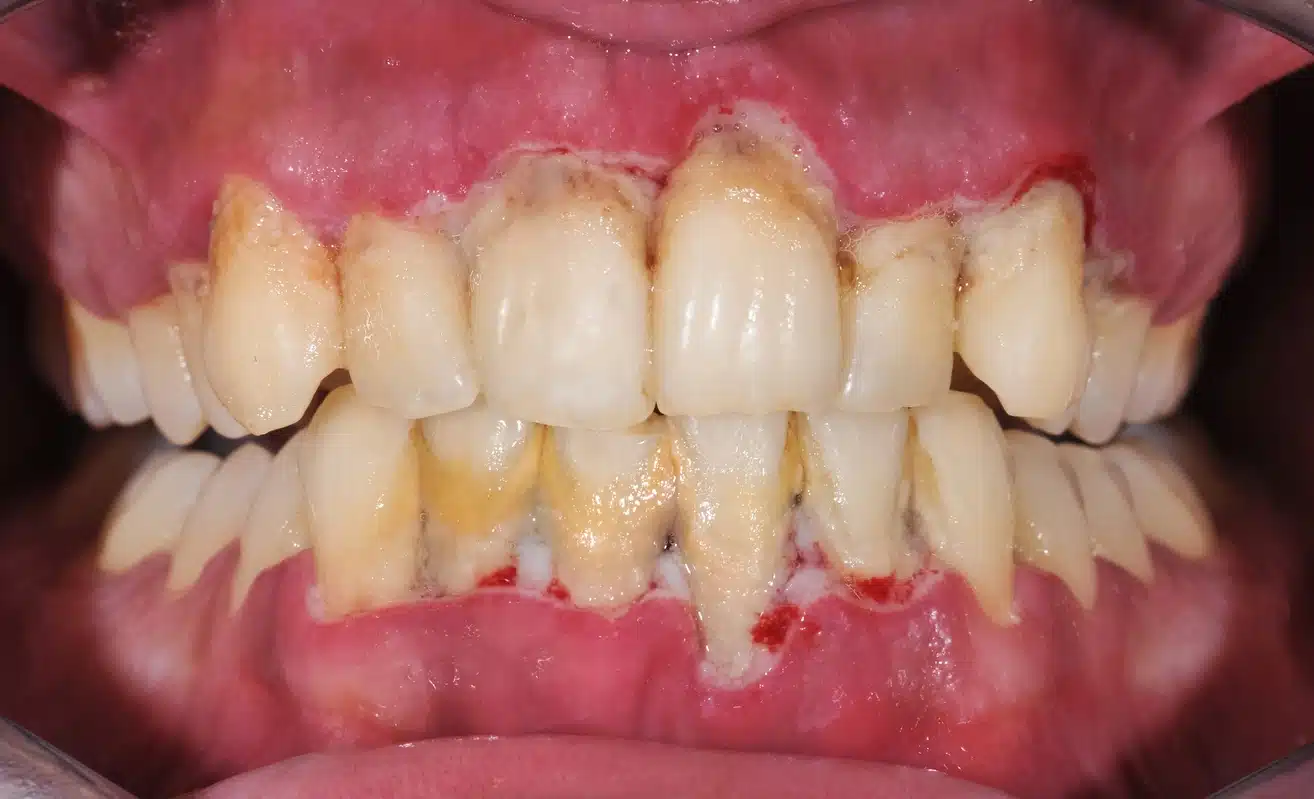
Bacteria are naturally present in the mouth. Proper oral hygiene habits can keep bacteria under control, but without this, bacteria can build up and turn

Traditional dentures are a popular option for tooth replacement. When properly cared for and maintained, dentures should last for years. However, in some cases, they
About Us
At A Dental Care, we understand the importance of having access to emergency dentistry services in Houston, TX. We provide comprehensive dental care in Houston, TX for individuals who need urgent attention and are committed to providing excellent customer service. Rated as one of the Best Dentists in Houston, TX.
2025 © A Dental Care. All Rights Reserved.
Dental Marketing by WEB MARKETING FOR DENTISTS