Have you ever wondered, “What is Dental Filling?” If your dentist has recommended a dental filling, you might be curious about the procedure, its benefits, and what to expect. Dental fillings are one of the most common and effective treatments for repairing cavities, minor tooth fractures, and worn-down enamel.
At A Dental Care, we provide high-quality, pain-free dental fillings using the latest technology to restore your teeth’s strength and function. This guide will explain everything you need to know about dental fillings, their types, the procedure, and how to care for them properly.
What Is a Dental Filling?
A dental filling is a material used to repair and restore a tooth damaged by decay, cracks, or wear. The procedure involves removing the decayed portion of the tooth and filling it with a specialized material to prevent further deterioration and restore the tooth’s natural shape and function.
When Do You Need a Dental Filling?
Your dentist may recommend a filling if you experience:
- Tooth sensitivity when consuming hot, cold, or sweet foods
- Visible holes or dark spots on your teeth
- Persistent toothache or discomfort while chewing
- Chipped or worn-down teeth due to grinding or trauma
Ignoring tooth decay can lead to severe infections or the need for a root canal, so early treatment with a filling is essential.
Types of Dental Fillings
At A Dental Care, we offer different types of dental fillings, each with its unique benefits:
- Composite Resin Fillings – Tooth-colored and natural-looking, ideal for front teeth or visible areas.
- Amalgam Fillings – Made of metal alloy, highly durable, and best for molars.
- Ceramic Fillings – Stain-resistant and aesthetically pleasing, but more expensive.
- Gold Fillings – Long-lasting and strong, though they require multiple visits.
Your dentist will recommend the best filling material based on your tooth’s location, aesthetic needs, and budget.
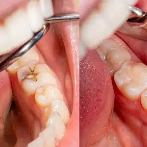
What to Expect During a Dental Filling Procedure
Getting a dental filling is a quick and painless procedure that usually takes about 30 to 60 minutes. Here’s what to expect:
1. Numbing the Area
To ensure a pain-free experience, your dentist will first apply a topical numbing gel to the gums. Once the area is slightly numb, a local anesthetic injection will be administered to block any discomfort. This ensures that you remain comfortable throughout the procedure, even while the decay is being removed.
2. Removing the Decay
Once the area is numb, your dentist will use specialized dental tools to carefully remove the decayed or damaged part of the tooth. This step is crucial to prevent further deterioration and create a clean, bacteria-free surface, ensuring the filling bonds properly for long-term durability.
3. Placing the Filling
After removing the decay, your dentist will thoroughly clean and prepare the cavity for the filling. The chosen filling material is applied in layers, shaped to match the tooth’s natural contours, and hardened using a curing light (for composite fillings). This process restores strength and function.
4. Final Adjustments & Polishing
Once the filling is set, your dentist will refine its shape, smooth rough edges, and polish the surface to blend seamlessly with your natural teeth. A bite test will be conducted to ensure proper alignment and comfort, allowing you to eat and speak normally.
At A Dental Care, we prioritize patient comfort and use modern techniques to make the process quick, effective, and virtually painless.
Is Getting a Dental Filling Painful?
One of the most common concerns patients have is, “Does getting a dental filling hurt?”
The good news is dental fillings are not painful because your dentist will numb the area before starting.
- During the procedure – You may feel slight pressure or vibrations, but no pain.
- After the procedure – Mild sensitivity to hot, cold, or pressure is normal for a few days.
- If pain persists beyond a week, contact A Dental Care for an evaluation.
How to Care for Your Dental Fillings
Proper care will help extend the lifespan of your dental fillings and maintain optimal oral health. Follow these tips:
- Practice Good Oral Hygiene – Brush twice daily and floss regularly.
- Avoid Hard & Sticky Foods – Excessive chewing pressure can damage fillings.
- Use a Fluoride Toothpaste – Strengthens enamel and prevents further decay.
- Visit Your Dentist Regularly – Routine check-ups help detect any issues early.
When Should You Replace a Dental Filling?
Dental fillings don’t last forever and may need replacement after several years due to wear and tear. Signs you may need a new filling include:
- Tooth sensitivity or pain around the filled area
- Cracks, chips, or visible damage on the filling
- A filling that feels loose or falls out
If you experience any of these symptoms, schedule an appointment with A Dental Care for a replacement.
FAQs
How long do dental fillings last?
- Composite resin fillings – 5 to 10 years
- Amalgam fillings – 10 to 15 years
- Ceramic or gold fillings – 15+ years
Can I eat after getting a filling?
- For composite fillings, you can eat immediately.
- For metal fillings, wait 24 hours for them to harden fully.
Why is my tooth sensitive after a filling?
Mild temperature sensitivity is common and should subside within a few days. If it persists, consult your dentist.
What happens if I don’t get a cavity filled?
Untreated cavities worsen over time, leading to infections, tooth loss, or root canals.
Can a filling fall out?
Yes, fillings can wear down or loosen due to chewing pressure or decay. If this happens, visit A Dental Care immediately for a replacement.
Why Choose A Dental Care for Your Dental Fillings in Houston, TX?
- Gentle, Experienced Dentists – Pain-free, high-quality fillings tailored to you.
- Cutting-Edge Technology – Digital X-rays & advanced materials for precision.
- Convenient Locations – Five Houston-area offices for easy access.
- Affordable & Insurance-Friendly – We accept most plans & offer flexible financing.
With multiple locations across Houston & Spring, TX, expert care is always within reach! Visit Greenspoint, Gulf Gate, Tidwell, Union, or Spring for seamless, stress-free dental fillings. Call now & book your appointment today!
Bibliography & Sources
- American Dental Association (ADA) – www.ada.org
- Mayo Clinic – Dental Fillings – www.mayoclinic.org
- Colgate Oral Care Center – www.colgate.com
- Cleveland Clinic – Tooth Fillings – www.clevelandclinic.org
At A Dental Care, we ensure comfortable, effective, and pain-free dental fillings for all our patients. Call us today to schedule your consultation!



