
Braces Need Care and Attention So They Can Give Your Teeth Care and Attention
Braces need care and attention so they can give your teeth care and attention. If you do not take care of them, they cannot take

Braces need care and attention so they can give your teeth care and attention. If you do not take care of them, they cannot take

Have you ever wondered if you could give yourself a straight and beautiful smile you always dreamed of? If so, you are not alone. Many

There are many things that could cause a toothache in Houston, Texas. In fact, a toothache is usually a sign that you have a bigger

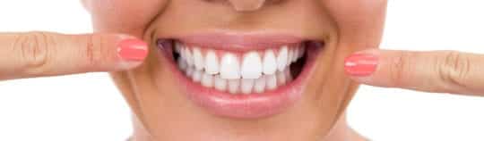
A smile suffering from stains, chips, old fillings or other visible imperfections can leave you feeling self-conscious about your appearance. Here at A Dental Care,
How do I know if I need braces? You may find yourself asking this very question. Your teeth may feel correct, but chances are, you’ve
Here at A Dental Care, we strive to give you the positive oral health you deserve and the sparkling smile you always wanted. Invisalign® is

To help you ease into your orthodontic treatment, our A Dental Care team is happy to tell you what to expect during your first appointment

Functionally, the new ceramic coated braces Dr. Firoz Lalani installed on your teeth are similar to traditional wire and bracket braces, in every way. Cosmetically

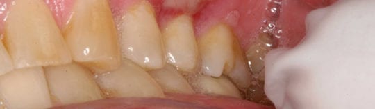
As you probably know, gum disease is something you should strive to avoid. You’ve probably heard that, in order to keep your teeth healthy and
About Us
At A Dental Care, we understand the importance of having access to emergency dentistry services in Houston, TX. We provide comprehensive dental care in Houston, TX for individuals who need urgent attention and are committed to providing excellent customer service. Rated as one of the Best Dentists in Houston, TX.
2025 © A Dental Care. All Rights Reserved.
Dental Marketing by WEB MARKETING FOR DENTISTS