It is important to visit a dentist every six months to keep your mouth healthy. Regular dental checkups are the way to identify potential dental problems before they happen. But have you ever wondered if something happens between those regular checkups? The problems could be numerous, there could be tooth sensitivity or swelling or problems with your denture. You may not visit the dentist every time for every tiny issue but when should you go to the dentist?
When it comes to dental problems, it can be tricky to know whether to schedule an appointment with a dentist or not. You may feel like it’s an emergency but the next day you might plan to wait it out. This is why we put together a list of signs you must not ignore and should be mindful of to know that it’s time to see the dentist.
Signs You Need to Visit the Dentist
Here are five signs that indicated that you need to visit the dentist:
If you have a bridge, denture, or equipment that is loose or not fitting well.
This is a clear sign that you need to make an appointment. If you have a bridge or dentures you must see your dentist if it feels even a tiny bit loose or feels like it’s not fitting well as it used to. Well, you must see a dentist and get it adjusted to make it feel like new again. You should know that your mouth can change with time and therefore, you must get your dentures checked by an expert regularly.
Dry mouth
It is often neglected and not seen as a big problem. You must know that a healthy mouth must be well lubricated by saliva. It helps in neutralizing the acids that are produced by your mouth Along with that it washes away food particles. A dry mouth is a sign of illness. If your mouth feels unusually dry you must schedule an appointment with the dentist. This way he or she can examine and determine the reason behind your dry mouth and suggest treatments or ways to restore the moisture.
Blood during flossing or brushing
If you have started to floss your teeth recently, bleeding is normal. However, if your gums bleed at the slightest nudge or touch; it should not be ignored. This could also be a sign of periodontitis which should be treated as soon as possible or else, it would result in bigger medical issues.
Sores and Bumps
Unless it is a common canker sore, bumps and sores should not be ignored. They usually clear up in a matter of two weeks if not, it is an oral lesion and needs proper treatment. Diabetics should be all the more careful as they are vulnerable to candidiasis or thrush. Watch out for white sores on the inner cheek, roof of your mouth, tonsils, and tongue. They look harmless but it’s an indication that you must make an appointment.
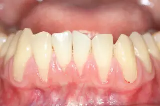
Receding gums
If you are 60 and above, you need not worry as it is a part of the aging process. However, if you are young and detect recession around a tooth even, it’s time to visit a dentist. This is because it is a sign of gum disease. There could be multiple reasons but immediate attention is required as it could lead to tooth decay, oral infection, tooth loss, pain, etc. An early appointment would stop the infection from spreading.
All in all, these are the five immediate signs that should not be ignored and must be reported to a dentist as soon as possible. Also, make sure to make your visits to the dentist more frequent in case you have a family history of dental problems.
We are proud to help Houston patients achieve their healthiest smiles. If you are suffering from any of the issues listed above, our professional dentists can help restore you to your best oral health. Contact us to schedule your next visit!




